L'aseptie en implantologie.
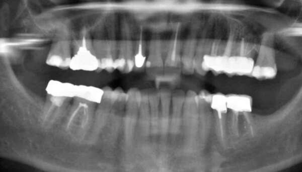
Les implants
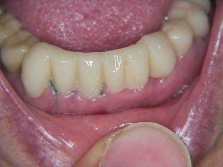
La mise en charge immédiate des implants et leur consolidation par la contention d'un bridge provisoire.
SI une dent extraite laisse un vide osseux important, peut-on implanter quand -même ?
Extraire une dent et l'implanter dans la séance : le meilleur moyen de conserver l'os et de limiter les interventions.
Un implant est-ce à vie ? Un implant est-il garantie vu son prix ? Un implant, ça ne peut plus avoir de carie ... mais rien d'autre ?
La mise en place chirurgicale des implants peut paraître impressionnante. Il s’agit pourtant d’une intervention relativement rapide dont les suites se déroulent très bien, dans la grande majorité des cas.
La méthode MIMI®-Flapless (Méthode d’Implantation Minimalement Invasive) désigne une technique de chirurgie implantaire sans ouverture de la gencive.
Si le taux de réussite des implants est aujourd’hui incontesté, leur durée de vie dépend néanmoins d’un entretien minutieux et d’une surveillance attentive.
Le passeport implantaire remis par votre praticien après l’intervention permet la traçabilité et le suivi de votre nouvel implant.
Si l’os au niveau du plancher sinusien montre une épaisseur insuffisante pour placer un implant, un comblement de sinus sera réalisé.
Examens préalables, durée de l’intervention, coût et remboursement. Réponses aux questions que vous vous posez avant la pose d’un implant.
Un implant est composé de plusieurs pièces, usinées de façon très rigoureuse, et emboîtées successivement les unes dans les autres.
Découvrez notre collection de fiches pédagogiques











