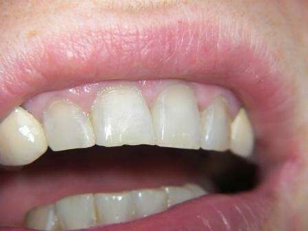
Lorsqu'une couronne choque par sa couleur et qu'il n'y a pas de solution satisfaisante pour la patiente.
Blog - Page 4
Voici en chronologie, la réalisation d'une couronne CEREC, jusqu'à sa pose.
Une couronne en une séance (1h30), collée en définitif, toute en céramique afin d'éliminer le métal de la bouche et avec une adaptation sur la dent quasi-parfaite !
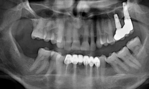
Un bridge est une prothèse fixe permettant de remplacer une ou plusieurs dents manquantes en s’appuyant sur les dents adjacentes. Les dents sur lesquelles s'effectue l'appui doivent être préparées pour accueillir le bridge.
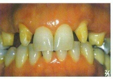
Guérison parodontale. Réalisé à Auriol, proche Aubagne
Les maladies parodontales sont des infections des tissus parodontaux (gencives et os sous-jacent) qui soutiennent les dents. Leur traitement repose principalement sur un protocole de nettoyage et de désinfection.
Ces maladies également appelées parodontites (ou déchaussements des dents) touchent environ 80% de la population adulte occidentale, ce qui en fait la maladie chronique la plus fréquente. En outre, près de 15% des personnes qui en souffrent sont atteintes de formes sévères de la maladie.
Comment soigner ses dents par l'homéopathie ou les les huiles essentielles.
On distingue généralement les kystes d’origine dentaire liés à une infection de la dent et les abcès parodontaux liés à une infection de la gencive.
Contrairement aux croyances populaires, la mauvaise haleine, appelée aussi halitose, ne vient pas de l’estomac mais de la bouche dans 85% des cas.
L’élimination de la plaque dentaire est indispensable pour se protéger des caries et autres problèmes parodontaux. Quelques règles simples permettent d’assurer une bonne hygiène buccale.
Il existe plusieurs techniques de remplacement d’une ou plusieurs dents, dont le bridge qui s’intègre naturellement au reste de la dentition et permet une restauration esthétique et fonctionnelle. Selon le contexte clinique, différents types de bridges pourront être proposés.
Découvrez notre collection de fiches pédagogiques











